Bu kanser türü erkeklerde daha sık görülüyor

Akciğer kanserine bağlı ölümler ne yazık ki hem ülkemizde hem de dünyada kanserden ölümler arasında ilk sırada yer alıyor. Konuya dikkat çekmek üzere, içinde bulunduğumuz 'Akciğer Kanseri Farkındalık Ayı' kapsamında açıklamalarda bulunan Göğüs Hastalıkları Uzmanı Dr. Öğr. Üyesi Aygün Gür, akciğer kanserinin yüzde 80'inin sigara içimiyle ilgili olduğunu belirterek, erkeklerde görülen kanserler içinde ilk sırada olduğunu ifade etti.

Her yıl dünyada 18 milyon kişi kansere yakalanıyor ve yaklaşık 9,5 milyon kişi bu nedenle hayatını kaybediyor. "Akciğer Kanseri Farkındalık Ayı" dolayısıyla açıklamalarda bulunan İstanbul Gelişim Üniversitesi (İGÜ) Sağlık Hizmetleri Meslek Yüksekokulu'ndan Göğüs Hastalıkları Uzmanı Dr. Öğr. Üyesi Aygün Gür, tüm dünyada akciğer kanserinin, erkeklerde görülen kanserler içinde ilk sırada yer aldığını, kadınlarda ise 3'üncü sırada olduğunu belirtti.

Akciğer kanseri önlenebilir bir hastalık

Akciğer kanserine neden olan faktörlerin başında sigara kullanımı geliyor. Yüzde 80 oranında sigarayla ilgili olduğunu vurgulayan Dr. Öğr. Üyesi Aygün Gür, "Sigara dışında puro, pipo, nargile gibi tütün ürünlerinin, pasif sigara içiciliğinin hatta yapılan çalışmalarda elektronik sigaranın da akciğer kanseri gelişmesinde etkili olduğu bildiriliyor. Bunun dışında asbest, radon, hava kirliliği gibi toksik maddelere çevresel ve mesleksel olarak maruz kalmak, genetik yatkınlık ve aile öyküsü gibi nedenler de akciğer kanserine neden olmakta" şeklinde belirtti. Gür ayrıca akciğer kanseri ile mücadelede en etkili yöntemin kişilerin sigaraya hiç başlamaması olduğunu; içen kişilerin de hangi yaşta olursa olsun sigarayı bırakması gerektiğini ve akciğer kanserinin önlenebilir bir hastalık olduğunu ifade etti.

Bu belirtilere dikkat

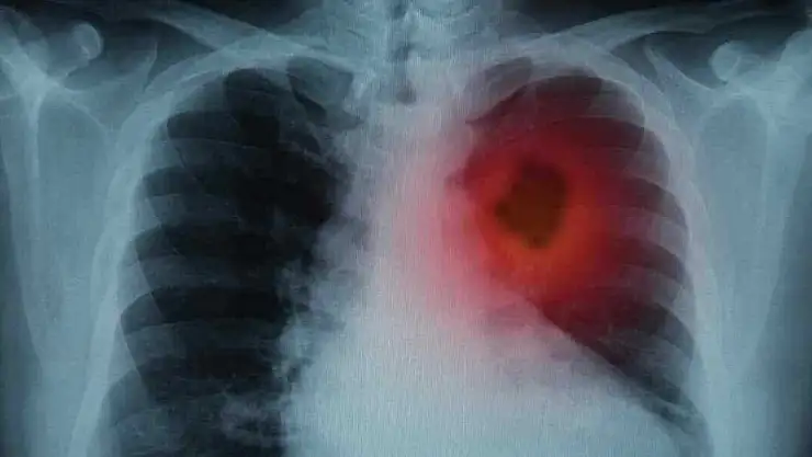
Akciğer dokusundaki normal hücreler kontrol dışı çoğalarak kitle yani tümör oluşturduğunda akciğer kanseri meydana geliyor. Kitle büyüyerek önce çevre dokulara, dolaşım yoluyla da beyin, karaciğer gibi diğer organlara yayılıyor. Akciğer kanserinin erken dönemde belirti vermeyebileceğini ifade eden Göğüs Hastalıkları Uzmanı Dr. Aygün Gür, "Geçmeyen ve giderek artan öksürük, öksürükle ağızdan kan veya kanlı balgam çıkarmak, nefes darlığı, göğüs ağrısı, ses kısıklığı, halsizlik, iştahsızlık, geçmeyen ve tekrarlayan akciğer enfeksiyonu gibi belirtiler görülebilir" şeklinde konuştu.

Tanı için akciğer röntgeni, bilgisayarlı tomografi gibi görüntüleme yöntemleriyle kitle saptandıktan sonra, kitleye hangi yolla ulaşarak örnek alınacağı belirleniyor. Kanserin türü ve evresi belirlendikten sonra tedavinin planlandığını belirten Gür, "Akciğer kanserinde erken tanı çok önemli. Tedavi şansını artırdığı gibi ölüm oranını da azaltmaktadır. Tedavi; hastanın yaşı, klinik durumu, kanserin tipi, evresi gibi faktörler ışığında planlanarak cerrahi, kemoterapi veya radyoterapi programlarının biri veya birkaçı bir arada uygulanır" dedi.

Bakmadan Geçme