Diş Tedavisinde Dijital Teknoloji
Doç. Dr. Erhan Özcan
Bu makalemizde diş tedavilerinde kullanılan teknolojiler hakkında güncel ve faydalı bilgiler paylaşıyoruz.
3D Görüntüleme-Konik Işınlı Bilgisayarlı Tomografi

Bilgisayarlı Tomografi cihazı, dişlerin ve çevresindeki yapıların 3-boyutlu görüntülerini elde etmek için en son teknolojiyi kullanır. Geleneksel olarak kullanılan 2-boyutlu filmler teşhis ve tedavi sırasında en büyük yardımcılarımızdan olsalar da 3-boyutlu diş ve çevre dokuları hakkında tam bir bilgi vermezler. Bu 3 boyutlu görüntüler, geleneksel (2 boyutlu) x-ışınları kullanılarak tespit edilemeyen anatomik noktalar hakkında tam olarak doğru bilgileri gösterirler.
Konik ışınlı bilgisayarlı tomografi kullanımı, kök ve kanal sayısı, köklerin konumu, çevredeki kemiğin kalınlığı, kemik veya diş kusurları ve sinüs boşlukları gibi önemli hayati yapılara yakınlığı dahil olmak üzere dişlerin daha ayrıntılı değerlendirilmesini sağlar. Bu bilgiler, diş durumunuz için teşhis ve tedavi planlamasında daha fazla yardımcı olur. Bu görüntüler kullanılarak, birçok diş çekilmeden tedavi edilebilmektedir.
Önceden dişin üç boyutlu anatomisi hakkında bilgi edinebilmek çok sayıda açılı radyografiler alınıyordu. 3-D görüntüleme ile sadece ihtiyaç duyulan bölge ile sınırlı görüntü alınabilir ve böylece hastalarımız mümkün olan en düşük radyasyon dozuna maruz kalır-standart bir panoramik radyografi muayenesine benzer.
Dijital Görüntüleme - Fosfor Plak
Kliniğimizde tüm tedaviler sırasında, dişinizin anlık görüntüsünü sağlamak için dijital röntgen ile görüntüleme yapılabilmektedir. Bu görüntüleme ile gerekli bilgiler beklemeye gerek olmadan bilgisayar ekranında anında elde edilebilir. Bu görüntüleme teknolojisi bilgisayar üzerinde değişiklik yapmaya izin verdiği için geleneksel filmlere kıyasla daha doğru teşhis ve tedaviyi mümkün kılar. Filmler kolaylıkla ve bozulmadan depolanabilir. İnce ve ağız yapılarının şeklini alabilmesi sayesinde kullanım sırasında üstün bir konfor. Ayrıca bu filmler ile geleneksel filmlere göre maruz kalınan radyasyon dozu önemli ölçüde azalmaktadır.
Dental Operasyon Mikroskobu

Büyütme ve LED aydınlatma, dişinizin içindeki küçük detayların görünmesine yardımcı olarak, görüş yetersizliğinden dolayı tedavi edilemeyecek yüksek teknik hassasiyet gerektiren çok sayıda vakada tedaviyi mümkün kılan, çok kıymetli araçlardır. Bunlara ek olarak kliniğimizdeki operasyon mikroskobu, belirli vakalarda, tedavinizle ilgili önemli bilgiler sağlamak için yüksek çözünürlüklü dijital görüntüleme ve video ile donatılmıştır.
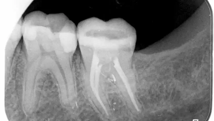
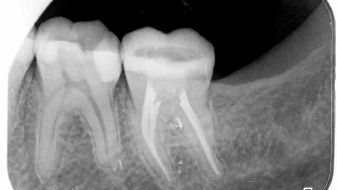
Elektronik Apex Bulucular

Kanal tedavisi ile ilgili başarıdaki en önemli etmenlerden biri kök kanal boyunun tam doğru olarak belirlenebilmesidir. Doğru belirlenemeyen kanal boyunda çalışıldığı zaman gerekli temizlik ve dezenfeksiyon işlemleri olması gerektiği yapılamaz. Bu türlü tedavilerde ise iyileşme elde edilemez. Eskiden kanal boyu belirleme için sadece filmlerden faydalanılıyordu. Fakat diş ve çevre dokuların anatomisinden de kaynaklı olarak filmler ile bu bilgi tam olarak elde edilememekteydi.
Elektronik apex bulucuları bu sorunu büyük ölçüde çözerek filmlere duyulan ihtiyacı azaltmış, hem daha iyi tedavi yapılmasına olanak sağlamış hem de maruz kalınan radyasyonu azaltmıştır. Bu cihazların kullanımı ile sinirleri dişe girdiği nokta tam olarak tespit edilebilir ve başarılı kanal tedavileri gerçekleştirilebilir.
Yüksek Frekanslı Ultrasonik Aletler

Yüksek titreşimli ultrasonik aletlerin endodontide birçok kullanım alanı vardır. Daha önceki tedavilerden kalan, restoratif dental materyallerin (ör. postlar, pinler ve dolgular) çıkarılmasını kolaylaştırmak ve kanal tıkanıklıklarının (ör. kırık aletler ve kanal dolgu malzemeleri) aşılması için kullanılırlar.

Ultrasonik enstrümantasyon ayrıca kalsifiye kanalların yerini belirlemede, cerrahi kök ucu hazırlamada ve dezenfeksiyonun aktivasyonunda (kanal sisteminin temizliğini geliştirmek için) bize yardımcı olur. Bu aletler, birçok zorlu dişin kurtarılmasına katkıda bulunur ve yapılan tedavilerde dezenfeksiyonun kalitesini yükselttiği içi başarı artar.
Nikel Titanyum Döner Aletler
Nikel-Titanyum aletler, çok eğimli kökleri bile en etkin bir biçimde temizlememize ve şekillendirmemize izin veren esnek aletlerdir. Bu aletler kanal sistemini tamamen dezenfekte etmek için sıvı antimikrobiyal maddelerle birlikte kullanılır.

Bioseramik İçerikli Tamir Materyalleri
Bioseramik içerikli tamir materyalleri endodontik tedavi tarihindeki en önemli oyun değiştiricilerden biridir. Bu materyaller, kanal tedavisi prosedürlerinde birçok uygulama alanına sahiptirler. Biyouyumluluğu ve fiziksel özellikleri, onu;
- Dişte oluşan perforasyonların (diş ile dişi çevreleyen kemik doku arasındaki açılmalar) kapatılması,
- Olgunlaşmamış yani kök ucu kapanmamış dişlerde bu bölgenin tamiri,
- Apikal cerrahi sonrasında kök ucunun sızdırmaz bir şekilde kapatılması,
- Travmatik yaralanmalar sonucu, yada çürük temizleme sırasında diş pulpasının açılması ile bu damar ve sinir dokusunun canlılığının korunması gibi bir çok tedavi için üstün bir malzeme haline getirir.
Bu bioaktif materyallerin kullanımı ile geçmişte çekilmek zorunda kalınan birçok diş, günümüzde başarı ile tedavi edilebilmektedir.
Ağrısız Elektronik Dental Anestezi
Dental tedaviler öncesinde anestezi uygulanması birçok insan için rahatsız edicidir. Anestezi kaygısı ile tedavilerin ertelendiği durumlar da görülebilmektedir. Elektronik anestezi ile iğne fobisi olan hastalarda dahi diş tedavileri rahatlıkla yapılabilmektedir. Lokal anestezi sırasında elektronik kontrollü sabit basınç uygulanması ağrı hissini ortadan kaldırarak çok daha konforlu bir tedavi deneyimi sağlamaktadır.
3 Boyutlu Ağız İçi Tarayıcı
Ağız içerisinden ölçü alınması gerektiğinde geleneksel yöntemde, dişlerin şeklini alan yumuşak bir ölçü maddesi ölçü kaşıklarının yardımı ile ağza taşınır, dişlerin ve çevre dokuların şekli böylece kaydedilir. Fakat bu yöntemin bazı zorlukları bulunmaktadır. Büyük ölçü kaşıklarının ağza yerleştirilmesi ve çıkarılması konforsuz bir işlemdir. Ölçü sırasında yumuşak ölçü maddesi boğaza kaçarak rahatsızlık oluşturabilir. Ek olarak ölçünün herhangi bir yerinde istenilen netlik olmamışsa düzeltilmesine izin vermez, işlemin sıfırdan tekrarlanması gerekebilir. Alınan ölçüde teknisyen aşamasında bir problem çıkarsa başka bir seansa ve yeniden ölçü alınmasına ihtiyaç vardır. Bu da ciddi zaman kaybına ve ekonomik zarara yol açar.
Ağız içi tarayıcı bu zorlukların üstesinden gelmeyi sağlayan bir ekipmandır. Küçük bir kamera dişlerinizin etrafında gezdirilerek çok kısa bir sürede, ağız içinin ölçüsü üç boyutlu olarak büyük bir netlikle elde edilebilir. Ölçü sırasında oluşabilecek hataları ortadan kaldırarak daha sağlıklı sonuçlar alınmasını sağlar. Bulantı refleksi olan hastalarda bile kolayca ölçü işlemi geçekleştirilebilir. Ölçü bilgisayar ekranında görülebildiği için, burada kontrolü yapılabilir ve istenilen bölgede düzeltme yapılabilir. Ölçü internet üzerinden teknisyene gönderildiği için hem bu aşamada bozulma riski olmaz hem de zaman kazanılmasını sağlar.
Bu teknoloji sayesinde kanal tedavisi yapılan ya da restorasyonu – dolgusu yenilenen büyük madde kayıplı dişlerin inlay, onlay ya da endokron gibi restorasyonları aynı gün içinde tamamlanabilir. Bu tarayıcı aynı zamanda lamina, kron yada köprü gibi tüm protetik uygulamalarda da aynı başarı ile kullanılmaktadır.
Dişlerinizle ilgili bir sorun olduğunu düşünüyorsanız lütfen diş sağlığı, diş hastalıkları ve kanal tedavisi konusunda güncel ve detaylı bilgilerin yer aldığı Dr Erhan Özcan web sitesini ziyaret ediniz.