• Haberler
  • Sağlık
  • Uzmanlar, Kovid-19'un birkaç ay içerisinde biteceğini öngörüyor

Uzmanlar, Kovid-19'un birkaç ay içerisinde biteceğini öngörüyor

Enfeksiyon Hastalıkları ve Klinik Mikrobiyoloji Uzmanı Dr. Nurullah Dikmen, omicron varyantını virüsün biteceğini gösteren bir 'müjde' gibi gördüklerini, omicronlu hastaların delta varyantlı hastalara göre hastalığı ayakta geçirdiğini söyledi.

Dünyaya yayıldığı gibi Türkiye'de de hızlı bir yayılım gösteren omicron, uzmanlar tarafından müjde olarak değerlendiriliyor. Diğer küresel varyantlarda olduğu gibi Kovid-19'un da 2 yılı aşkın bir süre sonra sona ermesini öngören Medicana İnternational Samsun Hastanesi Enfeksiyon Hastalıkları ve Klinik Mikrobiyoloji Uzmanı Dr. Nurullah Dikmen, birkaç ay içerisinde pandeminin sona ermesini umduklarını söyledi.

Omicronda acile başvurma oranlarının diğer varyantlara göre yüzde 10 azaldığını, hastaneye yatma riskinin 2 kat düştüğünü ve solunum cihazına bağlanma oranının da yüzde 802e kadar düştüğünü dile getiren Uzm. Dr. Dikmen, omicron varyantının delta ve diğer varyantlara göre akciğere tutulum oranının oldukça düşük olduğunu ifade ederek, önemli açıklamalarda bulundu.

"Omicronu, pandeminin 3-4 ay sonra biteceği "müjde" gibi algılıyoruz"

Kısa bir süre sonra pandeminin sona ermesini beklediklerini dile getiren Uzm. Dr. Nurullah Dikmen, "Şu anda gündemimiz omicron varyantı. Daha önceden yaygın varyant, delta varyantıydı. Delta, omicrona göre daha hasta yapıcı özelliğe sahipti. Buna bir "müjde" diyebiliriz. Omicron daha hızlı yayılıyor ama hastalandırma oranı oldukça düşük. Bunu 3-4 ay gibi bir sürede pandeminin biteceği müjdesi gibi algılıyoruz. Omicronun en belirgin özellikleri; burun tıkanıklığı, boğaz ağrısı ve hapşırma. Öksürük, bu varyantta deltaya göre daha az görülüyor. Akciğer tutunumu, deltaya göre oldukça düşük. Belirli bir yaş ve alt hastalığı olanları tabi ki omicronda da hastalanabiliyor. Tat alma ve koku kaybının azalması omicronda daha az. Bunların dışında omicronda mide bulantısı, karın ağrısı, gece terlemesi ve bel ağrıları diğer varyantlara göre daha fazla oluyor. Omicron, klinik olarak diğer varyantlara göre daha iyi. Acile başvuru yüzdesi deltada yüzde 15'ken, omicronda bu oran yüzde 5'lere düştü. Hastaneye yatma riski deltada yüzde 4'te oranındayken omicronda ise yüzde 2'ye düştü. Hatta solunum cihazına bağlanma oranı da diğer varyantlara göre yüzde 80'e kadar düşüş var. Yani evde, ayakta geçirilen bir varyant hastalığını görüyoruz. Bulaşıcılığı fazla ama hastalandırıcı özelliği diğer varyantlara göre oldukça az" dedi.

"Yaşlılar ve alt hastalığı olanlar omicronu ağır geçirebilir"

Yeni varyantın daha az hastalık belirtisi göstermesine rağmen yaşlıların ve alt hastalığı bulunan kişilerin daha dikkatli olması gerektiğini belirten Dr. Dikmen, "Aşılılar için karantina süreleri düştü. Pandemi artık birkaç ay içerinde kalkacak. Normal bir grip ve soğuk algınlığı gibi olup sona erecek. Maske kullanımı önümüzdeki sonbaharda kalkabilir. Uzak Doğu'da başka hastalıklarda bile maske takan var ancak Kovid-19 dolayısıyla birkaç ay sonra maske takmayacağımızı söyleyebiliriz. Her kan grubundan insan kovide yakalanabilir. Bazı hastalar PCR yaptırıyor, bazıları ise yaptırmıyor. Hasta olmadığı halde pozitif olanlar da çıkıyor. Aşı, maske, mesafe ve hijyen kuralına uyarsak bu ara dönemi daha rahat atlayabiliriz. Dünyadaki pandemiler 2 yıldan birkaç ay sonra bitiyor. 100 yılda bir olan pandeminin de birkaç ay içinde kalkacağını umuyoruz. Hastaların çoğu omicronu ayakta geçiriyor ama bu herkesin hastalığı ayakta geçirecek anlamına gelmiyor. Yaşlılar ve alt hastalığı olanlar omicronu ağır geçirebilir. Bağışıklık sistemi düşük olanların daha dikkatli olması konusunda uyarıyoruz" şeklinde konuştu.

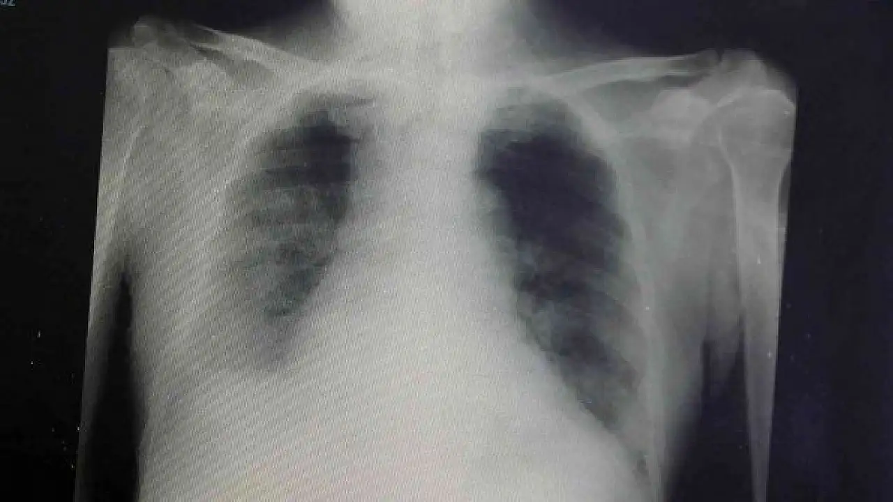
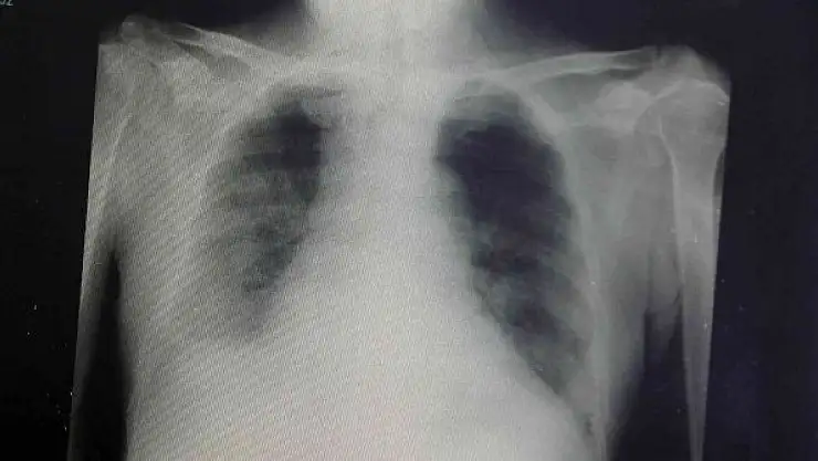
"Omicronda akciğer tutulması delta varyantına göre oldukça az"

Son olarak varyantların akciğer tutulumları hakkında da bilgiler veren Dikmen, şunları söyledi:

"Delta varyantına yakalanan hastalarda akciğer tutulumunun daha fazla olduğunu görüyoruz. Omicron varyantına yakalanmış bir hastanın akciğer filmine baktığımızda ise deltaya göre çok az kaldığını görebiliyoruz. Bu da omicron geçiren bir hastanın, delta varyantına yakalanan bir hastaya göre daha rahat nefes aldığını gösteren bir durumdur."

Uzmanlar, Kovid-19’un birkaç ay içerisinde biteceğini öngörüyor

Uzmanlar, Kovid-19’un birkaç ay içerisinde biteceğini öngörüyor

Uzmanlar, Kovid-19’un birkaç ay içerisinde biteceğini öngörüyor

Uzmanlar, Kovid-19’un birkaç ay içerisinde biteceğini öngörüyor

Bakmadan Geçme